Simple filling / dental bonding case for a chipped tooth. The patient had a minor chip and was treated conservatively with a simple filling/bonding to restore the tooth while preserving natural structure. This is a minimally invasive cosmetic restoration showing a subtle but noticeable improvement in the smile. Please display the before and after images side by side for comparison.
No more taking teeth in and out. We replaced a removable partial denture with a custom bridge for a permanent, natural-looking smile.
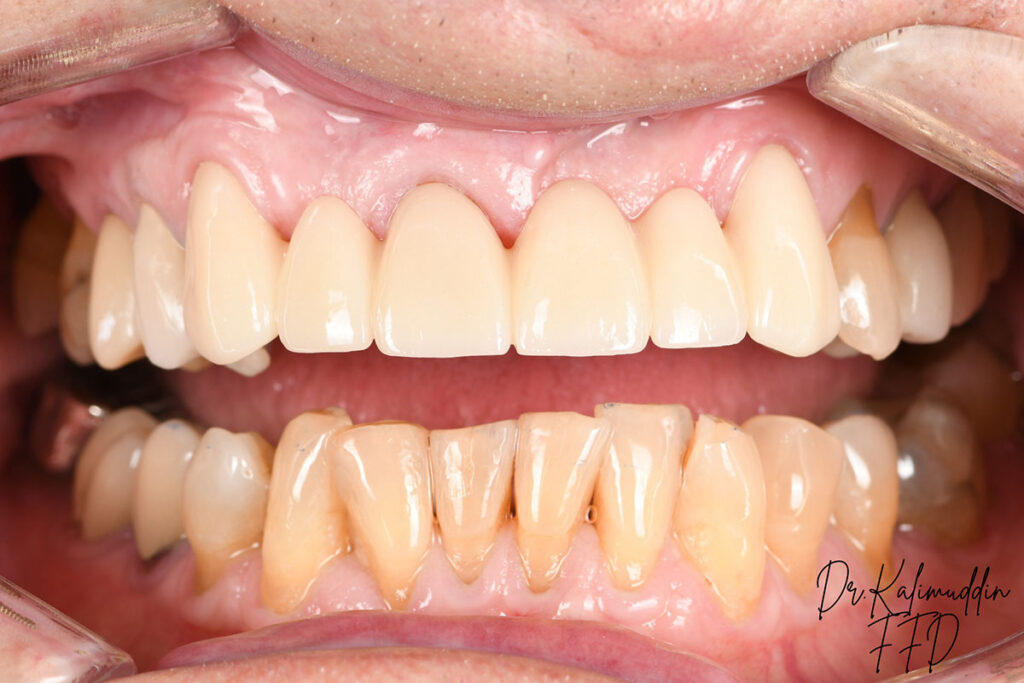
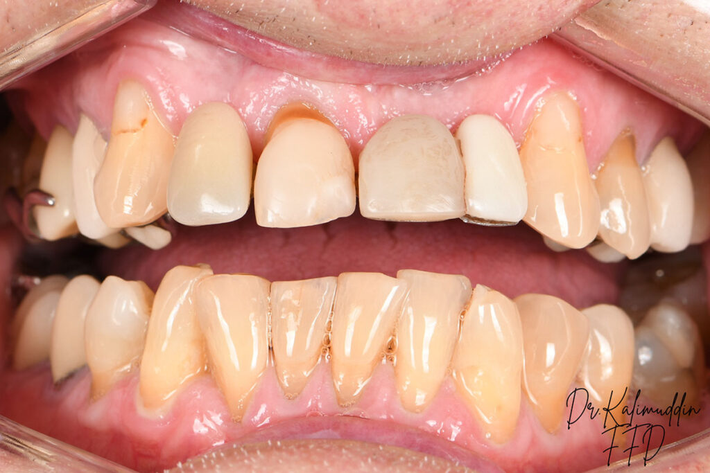
Tooth replacement with a bridge. The patient previously wore a removable partial denture and was restored with a fixed dental bridge. This converted a removable appliance into a permanent, fixed solution that stays in the mouth, improving comfort, function, and aesthetics. Please display before and after images side by side.
Posted on Mary B High quality care with a family friendly environment!Posted on Christopher R I absolutely love the team at Foundations they have helped me understand what I need for my teeth and what I can do to improve! I have had several visits with them and each time have left their office highly satisfied and delighted with their work. Definitely recommend!Posted on Alex H Great office! Can’t recommend enough!Posted on Nathan N Friendly, kind & prompt dental services …LovettPosted on Raymond Y Dr. K and team deserve 10 Stars. Thank you for taking care of me and family. The staffs were friendly and professional. They explained everything and addressed my questions. Both Dr. K and the dental nurse made sure that I was comfortable for my procedure. The office was super clean and modern in design. The TV in the room was a huge plus.Posted on Omar K This office is beautiful! Staff have great customer service skills and Dr. K is the best!Posted on Elizabeth S I found Foundations Family Dentistry about 2 years ago. They are fantastic! Appointments can be made easily, staff are professional and thorough, and they care about their patients. Highly recommend.Posted on Joseph B Excellent family dentistry that is professional, honest, & accept most insurances. Husband & wife team with loads of experience. Update Jan 2026 - Same professional, personal, and honest dentistry. Two dentists are great, hygienist is friendly & very good at her job, front desk associate was knowledgable, approachable, pleasant, and greeted me by name upon arrival. Highest recommendation!
Comprehensive Exam, Full-mouth X-rays, Regular Cleaning
*If you need a deep cleaning it will have a different fee ($150 for exam and X-rays)
Two professional dental cleanings and exams per year.
Two professional dental cleanings and exams per year.
*Two is at the price of $699 for household adults
Four professional dental cleanings and exams per year.